Уникальная особенность организации хордовых - филогенетическая, эмбриогенетическая, а также функциональная связь пищеварительной и дыхательной систем. Действительно, только у хордовых дыхательная система развивается на базе пищеварительной и на первых этапах эволюции функционирует совместно с ней. Так, у ланцетника, сохранившего в значительной степени черты организации предковых форм, специализированных органов дыхания нет, а дыхательную функцию выполняет глотка - передняя часть пищеварительной трубки, пронизанная сквозными отверстиями - жаберными щелями, главной функцией которых является фильтрация воды. Челюстного аппарата у ланцетника нет, и активно питаться он не может. Поэтому источник его питания - взвесь органических частиц в воде, которые задерживаются жаберными перегородками, прилипая к слизи, обильно выделяемой железистыми клетками глотки. Постоянный ток свежей воды через глотку способствует газообмену в кровеносных сосудах, расположенных в жаберных перегородках. На капилляры эти сосуды не распадаются, что свидетельствует о второстепенности дыхательной функции глотки.
У более высокоорганизованных хордовых, начиная с рыб, пищеварительная и дыхательная функции осуществляются специализированными системами, объединенными анатомически общей полостью рта и глотки, а также развитием из общего энтодермального зачатка.
Тесная связь обеих систем в филогенезе определяется в первую очередь их топографическими и динамическими координациями, а развитие в онтогенезе - морфогенетическими и эргонтическими корреляциями (рис. 14.20). Пищеварительная и дыхательная системы хордовых в эмбриогенезе закладываются вначале в виде прямой трубки, подразделяющейся на три участка. Переднюю ее часть, начинающуюся ротовым отверстием и заканчивающуюся переходом в глотку, называют stomodeum. Слизистая оболочка, выстилающая этот участок, эктодер-мального происхождения и в развитии связана с кожным эпидермисом и его производными (см. п. 14.1). Средняя часть трубки (кишки) начинается глоткой и заканчивается в том месте, где ее энтодермальная слизистая оболочка контактирует с эктодермальной слизистой оболочкой задней кишки, или proctodeum.

Рис. 14.20. Кишечная трубка позвоночных (а) и ее дифференцировка в эмбриогенезе человека (б): а 1 - жаберные щели в глотке; 1 - ротовая полость; 2 - 1-5-й глоточные карманы; 3 - глотка; 4 - пищевод; 5 - желудок; 6 - двенадцатиперстная кишка; 7 - дорсальная поджелудочная железа; 8 - вентральная поджелудочная железа; 9 - тонкая кишка; 10 - клоака; 11 - мочевой пузырь; 12 - желточный мешок; 13 - желчный пузырь; 14 - печень; 15 - легкие; 16 - закладка щитовидной железы
14.3.1. Ротовая полость
Рассмотрим вначале эволюцию ротовой полости и ее производных. У бесчерепных ротовая полость окружена предротовой воронкой со щупальцами и частично выстлана мерцательным эпителием, который вместе с таким же эпителием глотки создает постоянный ток воды в кишечную трубку, несущую пищевые частицы и кислород. Ротовое отверстие позвоночных окружено кожными складками - губами, которые становятся подвижными только у сумчатых и плацентарных млекопитающих в связи со вскармливанием детенышей молоком.
Крыша ротовой полости образована у рыб и земноводных основанием мозгового черепа, которое выполняет функцию твердого нёба.
Наружные ноздри большинства рыб не сообщаются с внешней средой и выполняют только обонятельную функцию. В группе так называемых хоановых рыб и земноводных появляются внутренние ноздри - хоаны, открывающиеся в ротовую полость непосредственно позади альвеолярной дуги верхней челюсти.
Хоаны земноводных открываются в их ротовую полость сразу позади альвеолярной дуги верхней челюсти. У пресмыкающихся объем ротовой полости увеличивается, и на верхнечелюстных и нёбных костях появляются горизонтальные складки, частично разделяющие ее на верхний, дыхательный, отдел и вторичную ротовую полость. Хоаны при этом несколько смещаются кзади. У млекопитающих наблюдается срастание этих складок по средней линии таким образом, что возникает сплошное вторичное твердое нёбо, полностью отделяющее друг от друга ротовую полость и полость носа. Хоаны при этом открываются в носоглотку. Этим достигается независимость функций органов ротовой полости от процесса дыхания (рис. 14.21, а - в).
До 7-й недели эмбрионального развития человека дифференцировка области stomodeum отсутствует. К концу 8-й недели происходит формирование вторичного твердого нёба за счет срастания горизонтальных костных складок. При нарушении адгезии клеток обеих складок возможно незаращение твердого нёба - порок развития, известный под названием волчья пасть (рис. 14.21, г, д). Эта аномалия имеет атавистическую природу. Доказаны генетические механизмы ее возникновения. Она сопровождает ряд хромосомных синдромов, а также наследуется изолированно, причем с разной частотой у населения разных популяций. Так, в Японии частота «волчьей пасти» равна 2,1, а в Нигерии - 0,4 случая на 1000 рождений.

Рис. 14.21. Крыша ротовой полости у позвоночных: а - лягушка; б - ящерица; в - человек; г - неполная расщелина твердого нёба у человека; д - полная двусторонняя расщелина твердого нёба
Зубы позвоночных связаны по происхождению с плакоидной чешуей хрящевых рыб (см. п. 14.1), у которых наблюдается непрерывный переход от типичных чешуй к зубам в ротовой полости (рис. 14.22). Зубы первоначально расположены во много рядов и покрывают всю слизистую оболочку ротовой полости, располагаясь у многих рыб даже на языке. У ряда земноводных зубы также расположены не только на альвеолярной дуге, но и на других костях, например на сошнике. У пресмыкающихся обнаруживается только один ряд зубов, причем так же, как у земноводных и рыб, дифференцировка их отсутствует. Такую зубную систему, в которой все зубы одинаковы, называют гомодонтной. У животных перечисленных классов зубы, как и плакоидные чешуи, могут многократно выпадать, сменяясь новыми поколениями. Многократную смену зубов называют полифиодонтизмом.

Рис. 14.22. Переход от плакоидной чешуи к зубам по краю ротового отверстия акулы: 1 - плакоидная чешуя; 2 - закладка новых зубов; 3 - эмаль; 4 - дентин; 5 - зубы
Зубы млекопитающих дифференцированы на резцы, клыки и коренные. Они выполняют различные функции. Такую зубную систему называют гетеродонтной. Если резцы, и в особенности клыки, млекопитающих еще весьма сходны с коническими зубами предков, то наибольшим эволюционным преобразованиям подверглись коренные зубы. Впервые они возникли у зверозубых ящеров начала мезозойской эры за счет расширения оснований зубов и появления дополнительных бугорков, а затем и увеличения жевательных поверхностей при их сглаживании. Общее число зубов у млекопитающих уменьшается; так, у высших приматов всего 32 зуба. У некоторых млекопитающих, например, неполнозубых, зубов существенно меньше. Зубы располагаются только на альвеолярных дугах челюстей, в ячейках. Основание зуба сужается, образуя корень.
Зубы человека по сравнению с другими приматами уменьшены в размерах, особенно клыки. Моляры имеют четырехбугорчатое строение. Зубная дуга округлой формы. В связи с дифференцировкой зубов увеличилась продолжительность их функционирования, в результате чего в онтогенезе сменяются только два их поколения: молочные и постоянные. Это явление называют дифиодонтизмом. В редких случаях и у человека в пожилом возрасте может наблюдаться прорезывание отдельных зубов третьего поколения.
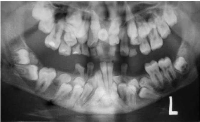
У человека возможны атавистические аномалии зубной системы, связанные с нарушениями как дифференцировки зубов, так и с их числом. Редкая аномалия - гомодонтная зубная система, в которой все зубы имеют коническую форму. Более часто встречается такая патология, как трехбугорчатое строение коренных зубов. Нередко встречается прорезывание сверхкомплектных зубов в ряду или за его пределами, иногда даже на твердом нёбе (рис. 14.23). Это свидетельствует о том, что у человека возможно образование большего числа зубных зачатков, чем 32, как это в норме встречается у низших млекопитающих и представителей более отдаленных классов позвоночных. Свидетельство тенденции к дальнейшему уменьшению числа зубов у человека - то, что нередко последние коренные зубы, так называемые «зубы мудрости», вообще не прорезываются, а если и прорезываются, то это происходит поздно - до 25 лет. Кроме того, эти зубы имеют явно рудиментарный характер, уменьшены в размерах и часто слабо дифференцированы.
На дне ротовой полости позвоночных располагается непарный выступ - язык, который у рыб представляет собой складку слизистой оболочки, лишенную мышц. Его движения осуществляются вместе с челюстями и подъязычной костью. У наземных позвоночных в языке располагаются мышцы, и они определяют его собственную подвижность. У пресмыкающихся и млекопитающих язык закладывается из трех зачатков: одного непарного и двух парных, лежащих кпереди от первого.

Рис. 14.23. Прорезывание сверхкомплектных зубов при клейдокраниальной дисплазии
Парные зачатки позже срастаются и дают начало телу языка. У большинства рептилий это срастание неполное, и язык раздвоен на конце. Весьма редким пороком развития языка у человека является раздвоенность его конца как результат несращения парных зачатков в эмбриогенезе.
Слюнные железы у рыб, заглатывающих пищу вместе с водой, отсутствуют и появляются только при переходе на сушу. Земноводные, обитающие на земле, имеют несколько слюнных желез, выделяющих только слизь. Слюна пресмыкающихся содержит уже и пищеварительные ферменты, а у некоторых змей - и токсины (см. п. 23.1). У млекопитающих слюнные железы многочисленны: это и мелкие - зубные, щечные, нёбные, язычные, гомологичные железам земноводных и пресмыкающихся, и крупные - подъязычные, подчелюстные и околоушные. Подъязычная и подчелюстная железы - результат дифференцировки подъязычной железы пресмыкающихся, околоушная - новое приобретение млекопитающих.
14.3.2. Глотка
Глотка - орган, выполняющий у всех хордовых две функции: дыхательную и пищеварительную. У ланцетника она пронизана множеством жаберных щелей (более 150 пар). У рыб 5-7 жаберных щелей закладываются как слепые парные выросты глотки - жаберные мешки. Навстречу им выпячиваются кожные покровы - жаберные карманы. В месте их соприкосновения происходит прорыв тканей эктодермы кожи и энтодермы глотки, и возникают сквозные жаберные щели.
У личинок земноводных в глотке образуется четыре пары жаберных щелей, а у пресмыкающихся прорыв их происходит только в эмбриональном развитии; вскоре после этого они зарастают. У млекопитающих в эмбриогенезе начинается закладка глоточных мешков и жаберных карманов, которые в норме никогда не прорываются и не образуют жаберных щелей (рис. 14.24). При нарушении эмбриогенеза во время закладки зачатков жаберных щелей они могут прорываться и даже сохраняться в постэмбриональном периоде у млекопитающих и человека. Эту аномалию называют латеральными свищами шеи. Они открываются на коже боковой поверхности шеи, а другим концом впадают в глотку. Если их полость имеет связь только с глоткой или открывается только на поверхности кожи, эти образования называются соответственно внутренними или наружными шейными синусами. Чаще встречается феномен под названием латеральные кисты шеи. Эта аномалия связана с сохранением в постнатальном развитии эмбрионального материала глоточных жаберных мешков или эктодермальных жаберных карманов, не связанных ни с полостью глотки, ни с внешней средой. Участки этих образований могут заполняться жидкостью, увеличиваться в размерах и обладают склонностью к малигнизации (рис. 14.25). Необходимы своевременная диагностика этих образований и их хирургическое удаление.

Рис. 14.24. Закладка жаберных щелей у позвоночных: а - фронтальный срез личинки тритона; б - срез через глотку зародыша мыши (головной конец зародыша сильно изогнут, поэтому на фотографии видны два среза одной нервной трубки); 1-5 - жаберные карманы и жаберные щели; 6 - зачаток легкого; 7 - полость глотки; 8 - нервная трубка
Первая жаберная щель у всех наземных позвоночных, начиная с земноводных, в процессе формирования превращается в евстахиеву трубу, барабанную полость и наружный слуховой проход. Располагаясь топографически в зоне редукции первичных челюстей и подъязычной висцеральной дуги, преобразующихся в слуховые косточки, она меняет свои функции, включаясь в систему слухового анализатора (см. п. 14.2.1).

Рис. 14-25. Развитие области глотки и ее аномалии у человека: а - зародыш в возрасте 5 нед; б - тот же зародыш (срез через область глотки по пунктирной линии, изображенной на рис. а); в - схема латеральных свищей шеи; г - проекции наиболее часто встречающихся латеральных шейных свищей; I-IV -жаберные дуги; 1 - кожа; 2 - сонная артерия; 3 - глотка; 4 - нёбные миндалины; 5 - подъязычная кость; 6 - гортань; 7 - сквозной шейный свищ; 8-10 - несквозные свищи (внутренние и наружный шейные синусы)
14.3.3. Средняя и задняя кишка
Кишечная трубка претерпевает в ходе филогенеза следующие прогрессивные преобразования: увеличение общей длины, дифференцировку на отделы и образование крупных многоклеточных желез.
Если длина этого отдела пищеварительной трубки ланцетника составляет примерно 1/3 длины тела, то у млекопитающих возможно превышение ее длины по отношению к телу в 10 раз и более. Этим достигается удлинение времени контакта пищевых частиц с ферментами пищеварения и увеличение всасывающей поверхности. На органном уровне это сопровождается появлением складчатости слизистой оболочки кишки, возникновением ворсинок и крипт. Кишечник ланцетника абсолютно не дифференцирован. В средней его части расположен печеночный вырост - простое слепое выпячивание брюшной стенки кишки, выстланное железистыми клетками. Функционально этот вырост представляет собой зачаточную печень. Он является единственной многоклеточной железой пищеварительной системы ланцетника.
У рыб за глоткой следует короткий пищевод, затем желудок, слабо от него отграниченный. В кишечнике выделяются тонкий и толстый отделы, последний открывается анусом во внешнюю среду. В отличие от ланцетника у рыб хорошо развита печень, снабженная желчным пузырем. Поджелудочная железа у различных рыб построена по-разному. В некоторых случаях она представлена отдельными мелкими дольками в стенке кишечника, в мезентерии (брыжейке), рассеяна в ткани печени. Нередко уже у рыб она представляет собой компактный орган, включающий в себя как экзокринную часть, которая ответственна за синтез пищеварительных ферментов, так и эндокринную, которая выделяет гормоны, регулирующие углеводный обмен. Таким образом, у рыб наблюдаются все основные стадии эволюции сложной многоклеточной железы, структура и функции которой впоследствии принципиально практически не изменяются. Единственное отличие пищеварительной трубки земноводных от трубки рыб - ее удлинение и впадение толстой кишки в клоаку.
Существенная особенность пищеварительной трубки пресмыкающихся - возникновение в ней слепой кишки. У большинства из них она зачаточна, но у некоторых развита весьма существенно. Слепая кишка - важное эволюционное приобретение пресмыкающихся, позволяющее им расширить рацион питания и использовать растительную пищу, переваривание которой сложно и требует участия симбиотических простейших и бактерий. Слепая кишка особенно богата микрофлорой, под действием которой осуществляются процессы брожения, позволяющие наиболее полно использовать пластические вещества растительного происхождения.
У млекопитающих за счет дальнейшей дифференцировки пищеварительного тракта, и в частности больших размеров слепой кишки, резко увеличивается разнообразие используемых продуктов питания и возникает пищевая специализация на травоядность и плотоядность; всеядность встречается редко, в частности в отряде приматов.
Задняя кишка плацентарных млекопитающих дифференцирована, клоака отсутствует и прямая кишка заканчивается анусом.
В онтогенезе человека рекапитулируют основные стадии филогенеза кишечной трубки и ее производных. Из пороков развития, связанных с задержкой эмбриогенеза, известны гипоплазии всей пищеварительной системы, укорочение кишки и недоразвитие любых ее отделов, а также печени и поджелудочной железы. В зависимости от степени недоразвития тяжесть аномалии может быть как незначительной, так и несовместимой с жизнью.
Клинический интерес представляет гетеротопия тканей поджелудочной железы в стенке тонкого кишечника или желудка. Иногда гетеротопированные фрагменты могут симулировать опухолевую трансформацию слизистой оболочки. По данным патологоанатомов, частота этой аномалии - от 0,6 до 5%. Механизм гетеротопии - нарушение клеточной миграции зачатков железы из стенки кишечной трубки.
Таков же механизм формирования другой редкой аномалии - гетеротопии печеночной ткани в стенку желудка или кишечника.
С недоразвитием и задержкой дифференцировки связана и такая аномалия, как персистирование клоаки, при которой мочеполовые пути и прямая кишка объединены.
При нормальном развитии после 8-й недели эмбриогенеза клоака должна полностью дифференцироваться на прямую кишку, мочевыделительные и половые протоки.
14.3.4. Органы дыхания
Жабры - наиболее ранние специализированные органы дыхания, появляющиеся среди хордовых впервые у рыб. Они представляют собой тонкие складки слизистой оболочки глотки, лежащие на жаберных дугах, снабжаемые венозной кровью через жаберные артерии и распадающиеся здесь на капилляры.
Позади последней жаберной дуги у кистеперых рыб за счет выпячивания вентральной стороны глотки формируется парное образование - плавательный пузырь, который выполняет в первую очередь гидростатические функции, уравновешивая тело рыбы в толще воды. Связь между ним и глоткой, имеющаяся в эмбриогенезе, не прерывается и позже, поэтому воздух при попадании в глотку может беспрепятственно проходить в плавательный пузырь. Эта морфофизиологическая особенность при изменении условий существования кистеперых рыб стала предпосылкой преобразования плавательного пузыря в легкие (рис. 14.26).
У земноводных, связанных по происхождению с кистеперыми рыбами, в личиночном состоянии функционируют жабры, а во взрослом - органами дыхания становятся легкие. В связи с отсутствием грудной клетки и диафрагмы воздух в них попадает из ротовой полости за счет глотательных движений, осуществляющихся подбородочно-подъязычной мышцей. Материал жаберных дуг, следующих за подъязычной дугой, частично редуцируясь, входит в состав хрящей гортани, которая, появляясь впервые у земноводных, является первым органом, относящимся к нижним дыхательным путям. Легкие начинаются непосредственно от гортани. Они крупноячеисты и имеют относительно малую дыхательную поверхность, в связи с чем газообмен в большей степени осуществляется через кожные покровы (см. п. 14.1).

Рис. 14.26. Плавательный пузырь рыб (а - костной; б - кистеперой) и развитие легких у человека (в - ранние стадии): 1 - средняя кишка; 2 -плавательный пузырь; 3 - глотка; 4 - развивающиеся легкие
Пресмыкающиеся, вышедшие на сушу окончательно, имеют как верхние дыхательные пути (не полностью отграниченную от ротовой полости полость носа), так и нижние - гортань, трахею и бронхи. Их легкие мелкоячеисты, содержат многочисленные внутренние перегородки и обладают большой дыхательной поверхностью. Впервые появляется диафрагма, которая в дыхании принимает скорее пассивное участие, так как она либо лишена мышечных элементов, либо разделяет грудную и брюшную полости не полностью. Механизм дыхания основан на сокращении межреберных мышц, приводящих в движение грудную клетку.
У млекопитающих дыхательные пути, как и у предков, выстланы мерцательным эпителием. Они полностью отделены от пищеварительной системы и только перекрещиваются с ней в глотке. Бронхи многократно разветвляются, вплоть до бронхиол, ведущих в альвеолы - легочные пузырьки, имеющие в сумме огромную площадь поверхности (у человека до 90 м2). Основной мышцей, изменяющей объем грудной полости, становится диафрагма.
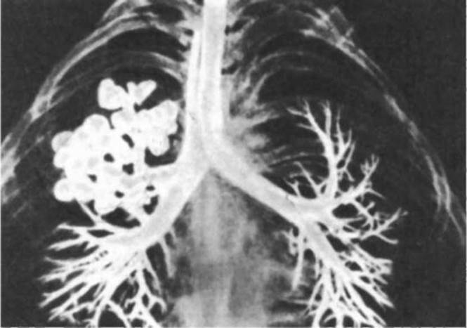
В эмбриогенезе человека отражается первоначальное единство пищеварительной и дыхательной систем. На этом основано формирование большой группы врожденных пороков развития пищевода и трахеи типа эзофаготрахеальных свищей (рис. 14.27). Нарушением альвеолярной дифференцировки легочной ткани могут быть объяснены дизонтогенетические бронхолегочные кисты - округлые полости в легких, отграниченные от окружающих тканей примитивно построенной стенкой недифференцированного бронха, а также кистозная гипоплазия (недоразвитие) легких (рис. 14.28). При этой патологии недоразвитыми оказываются целые доли легкого, которые представляют собой многочисленные полости, связанные с крупными бронхами и имеющие малую площадь поверхности. Газообмен в таких участках легких резко ослаблен. Широко известны также гипоплазии диафрагмы от небольших дефектов в ее куполе до полной аплазии. Последняя аномалия несовместима с жизнью и встречается обычно вместе с другими множественными пороками развития.

Рис. 14.27. Различные формы эзофаготрахеальных свищей (а - г): 1 - пищевод; 2 - трахея

Рис. 14.28. Кистозная гипоплазия правого легкого. Контрастная рентгенограмма